如果一个人体内有几颗大石头,会怎么样?今天故事的主角朱先生,是一位糖尿病患者,就曾与这样的石头“共处”了许多年。这些石头长满他的两个肾脏,形成医学上最复杂、处理难度极高的“多发铸形结石”。
近日,在县人医泌尿外科团队的努力下,朱先生通过两次精准的微创手术,成功将满腹顽石“一扫而空”,现已康复出院,笑容满面地开启了无石一身轻的新生活。
多年“石头记”,健康警报早已拉响
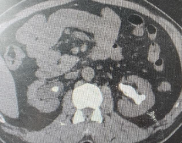
许多年前的一次体检,朱先生得知自己患有双肾结石。因当时症状不明显,也未规律复查。时间一晃而过。近期,朱先生时常感到腰部隐隐酸胀,体力也大不如前。他原以为是年纪大了的正常现象,直到一次剧烈的腰痛发作,才在家人的催促下就医,检查结果让他和家人都大吃一惊。CT显示,他的双肾结石,其中左肾几乎填满了各个肾盏,合并积水及感染,并且明确糖尿病,血糖超高。


“就像一个模具里灌满了石膏,结石完全依照肾脏内部的空腔形状生长,处理起来非常棘手。”泌尿外科主任、副主任医师刘伟光介绍,“尤其朱先生还有糖尿病,这大大增加了手术的复杂性和感染风险。”
“拆弹”专家团,两步精准“清空”肾内顽石
经过全面的评估和多学科会诊,泌尿外科团队为朱先生制定了周密的“两步走”微创手术方案,分期行双侧经皮肾镜取石术(同步控制血糖及治疗感染)。
· 第一步:攻坚右肾(存在积水的首先处理)。 在超声精确定位下,泌尿外科团队建立了仅铅笔粗细的微通道,利用高效的碎石设备,将右肾内坚硬的“石头城堡”逐步击碎、取出。手术顺利,手术后恢复良好。
· 第二步:清理左肾。 待右肾稳定恢复后,泌尿外科团队为左肾实施了取石手术。左侧结石更巨大、更复杂,手术团队凭借丰富的经验,再次成功完成“清剿”。

两次手术的关键,都在于 “精准穿刺” 与 “高效清石” 。既要最大程度地取尽结石,又要极其小心地保护肾功能、控制出血。整个过程,麻醉团队也为血糖的平稳控制提供了坚实保障。
术后复查影像显示,朱先生的双侧肾脏结石已完全取净,肾积水消失。困扰朱先生多年的“石头包袱”,终于被彻底卸下。
出院不是终点,健康管理永续
“感谢医生护士,我现在感觉轻松太多了!”出院前,朱先生感激地说。他腰部的不适感消失了,整个人的精神状态焕然一新。泌尿外科副主任医师冯治平特别叮嘱,虽然结石已清除,但患者的“结石体质”和糖尿病基础仍需长期关注,并为他制定了详细的出院后计划。
健康科普
铸形结石是泌尿系结石中最严重的一种,常与代谢异常(如糖尿病、甲状旁腺功能亢进等)、尿路梗阻或感染有关。其形成非一朝一夕,早期可能无症状,发现时往往已很严重。
· 定期体检至关重要,尤其是B超检查,能早期发现结石。
· 积极治疗基础疾病(如糖尿病),是预防复杂性结石的关键。
· 一旦发现较大或复杂结石,应尽早到有经验的结石诊疗中心评估,避免肾功能发生不可逆的损伤。
当结石患者进行了手术治疗后,仍需注意后续的自我健康管理。
1. 代谢评估:进行尿经石成份分析,从源头上了解结石成因。
2. 生活方式干预:保证每天至少2000ml饮水量,均衡饮食,限制高草酸、高嘌呤食物。
3. 控制基础病:必须在内分泌科指导下,严格、规范地控制血糖。
4. 定期复查:遵医嘱定期复查泌尿系B超及肾功能,防患于未然。
撰稿:冯治平
审核:周耿旭
佛冈县人民医院


粤公网安备 44182102000023号

